

新時代の「歯周病治療メンテンナンスシステム」
エアフロープロフィラキシスマスターは、「Guided Biofirm Therapy(GBT)」に基づいて開発された最新の歯面清掃機器です。
微粒子を歯面に吹き付ける方法で歯石の除去および歯面研磨を行う為、安全性・快適性共に高パフォーマンスを発揮します。
エアフローでは、専用のパウダー(パウダープラス)を使用します。直径がわずか14μmのパウダーで、 歯肉や歯の表面を傷つけることなく、優しくバイオフィルムを除去していきます。
【GBTの特徴】
~ヨーロッパ歯周病学会推奨~
を用いたプロによる徹底したバイオフィルム除去であり、ヨーロッパ歯周病学会によって推奨されています。
部分的なPMTCも対応しております。
3,300円(税込)~
PMTCは主に歯科衛生士が行う仕事ですが、専門的な知識・技術を持った歯科衛生士でなければ適切な処置を行うことはできません。
ラウナ南大井デンタルクリニックでは、予防歯科を学んだ歯科衛生士が担当制で処置を行いますのでご安心ください。

主に親知らずの抜歯や口内炎などお口に関連するあらゆる症状に対しての治療を行います。
お口に起こる様々なトラブルの中で、どう対処すれば良いか分からない。そのようなお悩みをお持ちでしたら、どんな些細なことでも、お気軽にご相談ください。
当院では、口腔外科出身の経験豊富な院長が治療を担当いたしますので、安心してご相談ください。
また、当院は都立荏原病院 歯科口腔外科と連携しております。
高度な医療設備が必要な症例に関しましては、速やかに適切な医療機関へご紹介させていただきます。
また、静脈内鎮静法を併用した一般治療・親知らずの抜歯をはじめとする外科処置などの治療が可能となっております。麻酔科専門医が在籍しておりますので、安心してお任せください。
主にむし歯や神経(歯の根)の治療を行います。
当院ではご自身の歯を大切にして、できるだけ残していただきたいと考えておりますので、なるべく削らない・抜かない治療を心がけています。
来院者様には、現在どういった治療をしているか、ご納得していただけるよう、治療の内容をアニメーション化したものなどを各診療台のTVモニターに映し、できる限りわかりやすいご説明をさせていただきます。
進行して歯の神経付近まで達してしまったむし歯の場合、通常であれば神経を取るしか方法がない症例でも、MTA系セメントケイ酸カルシウム覆髄材を使用し神経を保護することで、抜かない治療が可能です。


むし歯部分を削ると神経が見える状態に。(神経露髄 : 神経が露出した状態。)


MTA系セメントケイ酸カルシウム覆髄材により神経を保護。


バルクベース(低重合型レジン)を蓄積し、2層で辺縁封鎖と歯髄(歯の神経)保護を行い、痛みがないことを確認後、CR(コンポジットレジン)で修復。
※バルクベースを蓄積する事で、神経に熱などの刺激を伝わりにくくしたり、詰め物であるCRとの隙間を最小限にし、脱離を防ぐ効果があります。

お子様には、まず慣れてもらうところからスタートします。むし歯ゼロを目指して小さい頃からしっかりとケアすることが大切です。
当院では、お子様が退屈しないよう様々な工夫を行っておりますので、お子様も無理なく治療を受けていただけます。
お子様連れのご家族の方にも安心して診察を受けていただけるよう、各診療室のモニターにキッズスペースの様子を映すことも可能です。


\未来のお口の健康と歯並びを考えて/
お口を育てるトレーニングで、口腔機能の改善をサポートします
「いつもお口が開いている」「姿勢が悪い」といったお子様の気になるクセはありませんか?これらのクセは口腔機能発達不全症を引き起こす可能性があります。将来のお口の健康や発音、歯並びに影響を及ぼすこともあるため、早めに診断を受け、お口のトレーニングを始めることが大切です。
口腔機能発達不全症とは、「食べる」「話す」「呼吸」などのお口の機能が十分に発達していない、または不完全な状態を指します。この状態は、遺伝的な問題など先天的な要因や、事故や病気などの後天的な要因によって引き起こされます。早期に適切なアプローチを行うことで、機能の改善が期待できます。
口呼吸をしていると、さまざまなデメリットがあります。もしお子様が普段からお口をポカンと開けているようであれば、早めに対策をしていきましょう。当院には、お子様の口呼吸を改善し、あごの正常な発育をサポートするメソッドがあります。お子様のお口が気になる方は一度、ご相談ください。
口呼吸がお子様に及ぼす悪影響
むし歯になりやすくなる
唾液には、歯を再石灰化し、むし歯から守ってくれる働きがあります。口呼吸でお口が乾燥し、唾液の分泌量が減ると、むし歯になりやすくなります。
風邪をひきやすくなる
空気中のウイルスがダイレクトに気道に入るため、鼻呼吸に比べて感染のリスクが高まります。その結果、風邪をひきやすくなります。
睡眠障害のリスクが高まる
口呼吸は舌の位置を下げるため、気道が狭くなります。その結果、いびきをかきやすくなり、睡眠時無呼吸症候群などのリスクが高まります。
歯並びが悪くなる
口呼吸をして口が開いたままになると、あごが正常な大きさに発達せず、歯が生えるスペースが不足して歯並びが悪くなることがあります。
顔貌に影響がでる
口呼吸が継続して行われることで、あごが後退し面長な印象の顔貌になります。これは、顔の筋肉やあごの骨格が正しく成長しないためです。
口呼吸と低位舌の関係
舌のトレーニングで低位舌を改善
お子様に口育の習慣を
足を床につけて椅子に座るように意識したり、しっかり噛んで食べることができる環境を整えたりするなど、毎日の生活習慣のちょっとした改善が、健やかなお口の発達に大いに役立ちます。当院では、お子様の口腔健康を守るため、口育に関するご指導を行っております。ぜひ、積極的に取り組んでいきましょう。
今日からできる口育トレーニング
お子様が大好きなアイテムを使って、楽しくお口のトレーニングを行っていきましょう。継続することで、咀嚼や嚥下などに必要な舌やお口まわりの筋肉バランスを整え、正常なお口の発達を促していくことができます。

フッ素にはむし歯を予防し、再石灰化を促進する効果があります。歯科医院で高濃度のフッ素を歯面に塗布し、さらにご自宅でフッ素配合の歯磨き剤を使ってブラッシングを行うことで、むし歯予防に高い効果を発揮します。


フッ素配合の歯磨き剤は、年齢別の適正濃度のものを使用することが推奨されています。当院ではお子様に合った歯磨き剤をご提案しておりますので、ご希望の方はご相談ください。


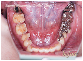
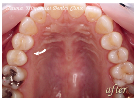
歯周病治療なくして歯科治療開始はできません。
それは、どんな高価なかぶせ物、詰め物をしても、その歯が駄目になってしまっては治療した意味がなくなってしまうからです。
歯周病の治療では、お口の状況を来院者様が分かりやすいように、レントゲン検査の他、歯周検査、細菌検査、
口腔内撮影を行い、カウンセリングにしっかり時間をかけてご説明をさせていただきます。
普段からお口の状態を良く観察し、できるだけ早い段階で変化に気づき、歯周病を早期発見することも大切ですが、初期の歯周病サインに気づくのは難しいため、定期的に歯科検診を受けていただくことをお勧めします。
また、当院では皆様に染め出しを行い、お一人おひとりにあった歯の磨き方をお教えしております。毎日のセルフケアでしっかりと歯周病を予防し、お口の中のみならず、歯周病菌がもたらす病気も予防しましょう。
当院では歯周病予防のため、こだわりを持った治療を行っております。
歯科衛生士個人ごとにハンドスケーラーを所持し、クリーニングの際にスケーラー等では届かない部分の歯石を歯の部位や形に合わせて取り除きます。
歯周病の原因を徹底的に除去し、患者様の歯周病予防のお手伝いをさせていただきます。

※矯正歯科治療は、公的健康保険適用外の自費診療となります。
当院では透明なマウスピース型矯正装置、クリアライナーを導入しております。
症例により「マウスピース型矯正装置clearcorrect;クリアコレクト」または「マウスピース型矯正装置invisalign;インビザライン」を使用いたします。目立ちにくい矯正装置をお考えの方は、是非ご相談ください。
セファロ撮影が院内で可能になりました!詳しくはぜひお問い合わせください。
【矯正治療のご案内】
担当医:中山真由子(出張して診療いたします)
通院回数:月に1回、全部で約20~36回程度
治療期間:約2~5年
※通院回数・治療期間には個人差があります。
当院では、経験知識豊富な矯正担当医が、初回カウンセリングから施術後のメインテナンスまで責任をもって治療を行います。
興味はあってもなかなか矯正治療に踏み出せなかった方や治療を始める前に色々聞いておきたいという方など、ぜひお気軽にご相談ください。
※矯正治療の無料相談は現在3か月待ちとなります。ご希望の方はお早目のご予約をお願いいたします。
詳しくはぜひお問い合わせください。
矯正歯科治療に伴う
一般的なリスクや副作用について
美しさを追求した治療を行います。歯が欠損してしまった部分や金属の詰め物が気になる部分を見た目だけでなく、耐久性のあるより良い歯に近づけます。
天然歯に近く自然な見た目のものや、強度のあるもの、金属アレルギーの方でもお使いいただけるよう、メタルフリーのものもご用意しております。
歯科技工士が立ち会いの元、治療を行ないますので、より来院者様のご希望に添った形、色合いなどをご提案させていただくことが可能です。
※保険内での白い被せ物が可能な場合がございます。詳しくはお問い合わせください。

ご自宅で、ご自身のペースで行うことができるホワイトニングです。オフィスホワイトニングよりも低刺激なため、知覚過敏になりにくいのが特徴です。 当院ではanjelus HOMEを採用しています。ホワイトニングは一日あたり2時間、期間は2週間行います。
ホームホワイトニングを毎日行った場合、通常は2週間程で効果が表れますが、さらに1~2週間続けていただくことで、安定した結果が得られます。
※個人差がありますので、あくまで目安の期間となります。
ホワイトニングは無料カウンセリング(30分)も承ります。
ご希望の方はご予約下さい。
当院では、お一人おひとりのお口に合う様々な種類のものをご用意しておりますので、一緒にお選びいただけます。
入れ歯をお使いの方で、「痛み」や「違和感」を感じてお悩みの方は是非一度ご相談ください。
保険適用のものから保険外のものまで種類を取り揃えております。
当院が扱う入れ歯のご紹介

入れ歯だと気づかれにくい見た目がポイント
歯根が残っている場合には、その部分と入れ歯に特殊な連結装置を取り付けて入れ歯を固定させる、アタッチメント義歯が適用できます。従来の入れ歯のようにバネがないため、見た目が良いという利点があります。

磁石の力でストレスのない安定感が実現
歯根に取り付けた磁石で固定する入れ歯です。高い安定性があり、入れ歯が外れたりズレたりすることはありません。また歯にかけるバネがないため、見た目が良く、残存歯への負担が少ないという特徴があります。

抜群の咬合力で食事や会話もしっかり楽しめる
あごの骨に埋め込んだインプラントが、ロケーターアタッチメントによってしっかり入れ歯と固定されます。安定性に優れているため、食事や会話にも不自由しません。もちろん、取り外しも可能なため、衛生面でも安心です。

特許技術による高い快適性が魅力のハイテク入れ歯
リプロシステムという先端技術で製作された入れ歯です。豊富な種類の中から、患者様のニーズに合わせた入れ歯をご提供でき、お一人おひとりのお口に馴染むようにデザインすることが可能です。機能面でも審美面でも高い満足感が得られる入れ歯です。
「入れ歯だと気づかれたくない」「食べ物の温度をしっかり感じたい」「価格を抑えたい」など、入れ歯に求めるものは人それぞれです。当院では患者様のご要望やお口の状態に合わせて最適な入れ歯をご提案いたしますので、どうぞお気軽にご相談ください。
当院のインプラントの治療では、インプラント担当の歯科医師が責任を持って治療を行います。


また、静脈内鎮静法を併用した一般治療・親知らずの抜歯をはじめとする外科処置などの治療が可能となっております。麻酔科専門医が在籍しておりますので、安心してお任せください。

治療は緻密な治療計画が必要となります。全ての症例ごと治療内容が異なっており、下記内容をご理解いただきご相談ください。

ガミースマイルとは、笑ったときに歯茎が見えすぎてしまう状態の事を指します。
歯茎の露出が3mm以上の場合「ガミースマイル」とみなされます。
コンプレックスを感じて、笑う際に口元を手で抑えてしまう方も少なくありません。
当院ではガミースマイル治療として歯肉形成術を行っております。
歯肉形成術では、被り過ぎている歯茎を切除することで、ガミースマイルを改善することができます。
歯肉形成のデメリット


ボツリヌストキシンとは、ボツリヌス菌から抽出されるタンパク質の一種です。
神経に作用させることで筋肉の収縮をコントロールするため、歯ぎしりや食いしばりなどから起こる、顎周りの筋肉の緊張を和らげ、緩めた状態にすることができます。


マウスピース装着が義務化されているスポーツ
・ボクシング ・キックボクシング ・女子ラクロス
・ホッケー ・高校ラグビー ・空手
・アメリカンフットボール ・アイスホッケー

当院ではERKODENT社製 エルコプレスmotion を使用したカスタマイズスポーツマウスピースを作製しております。
院内で作製するためスピーディーかつ、吸引と加圧プレスで精密なマウスピースを作製するこができます。
また、色の違ったシートを重ねることができるので、自分だけのオリジナルのマウスピースを作ることができます。
© 2016 Launa Minamioi Dentalclinic All Rights Reserved.
競技によって年齢や色の指定がありますので、
詳しくはスタッフにご相談ください!